

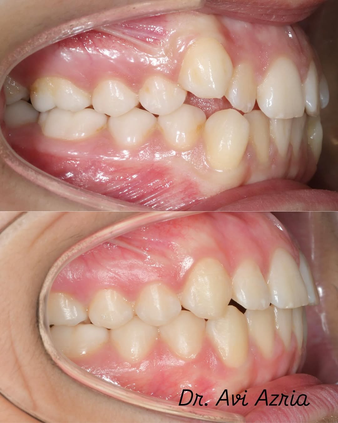
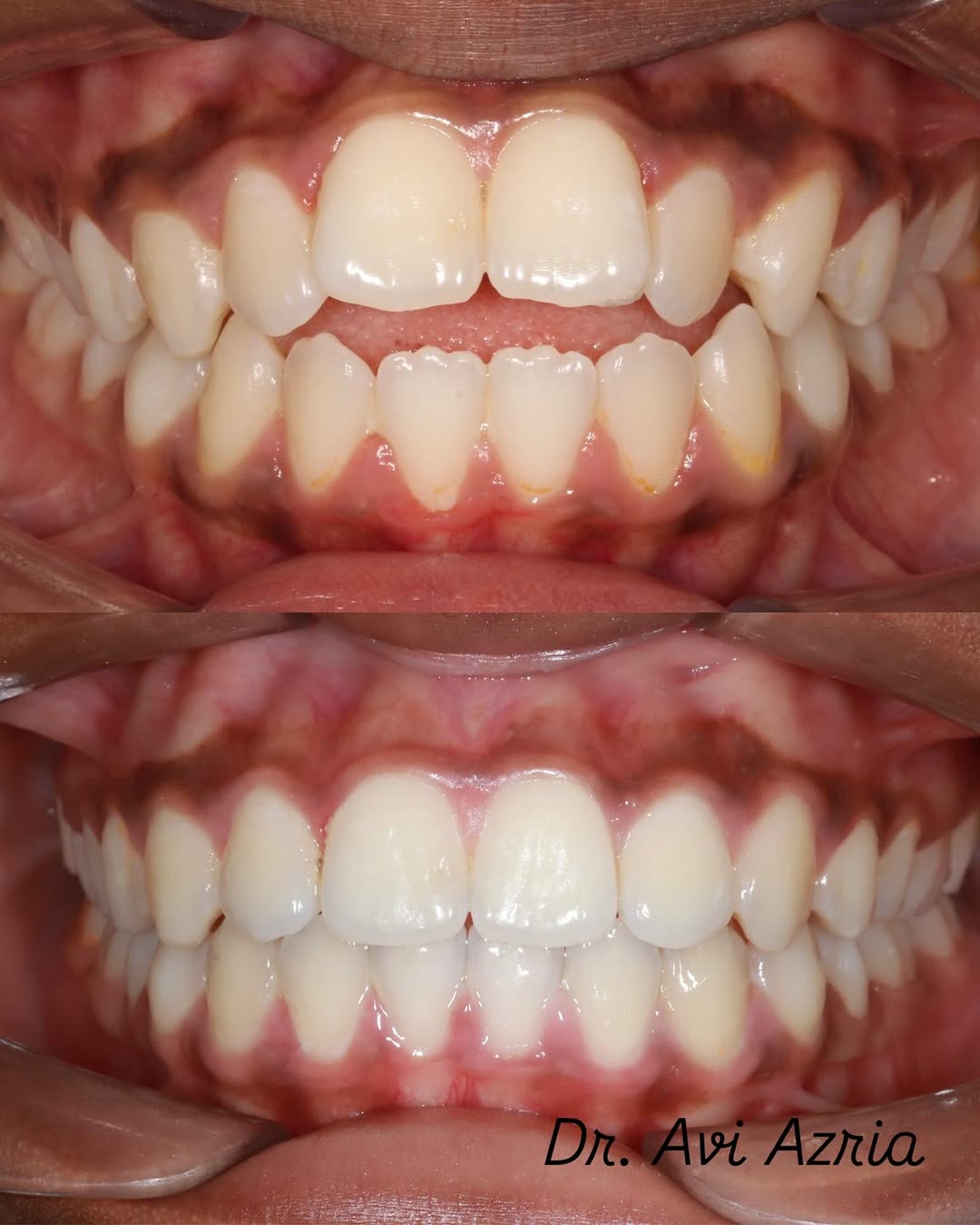
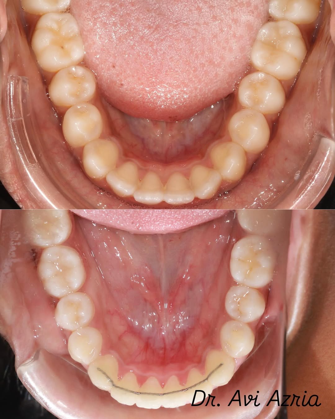
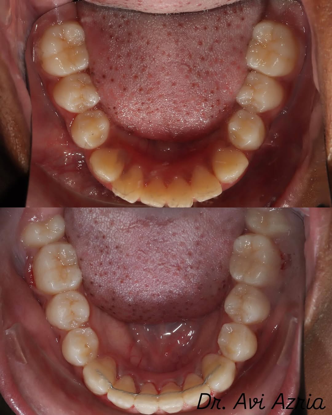
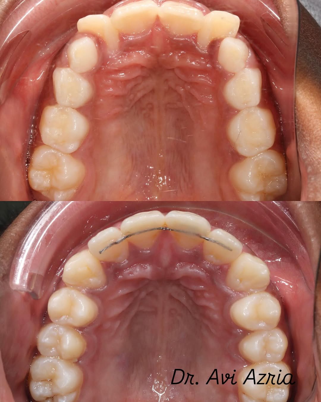
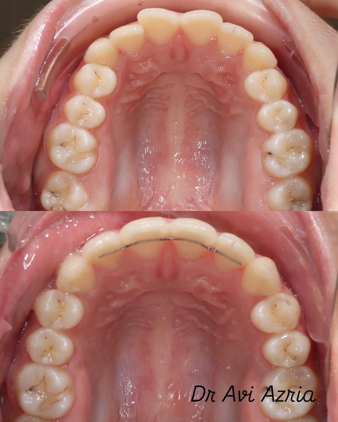
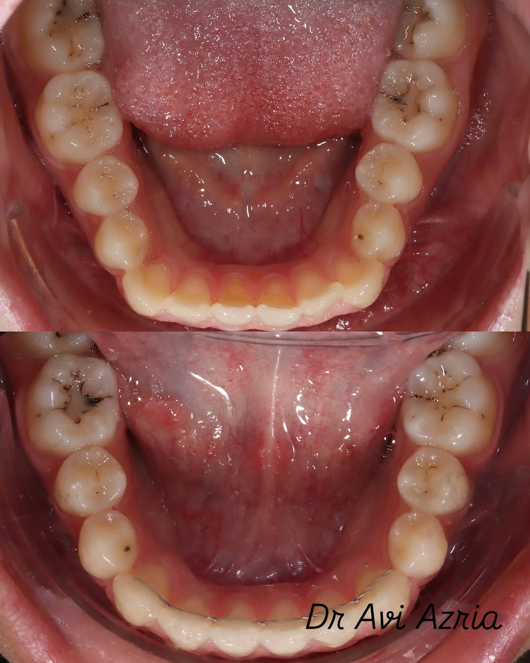
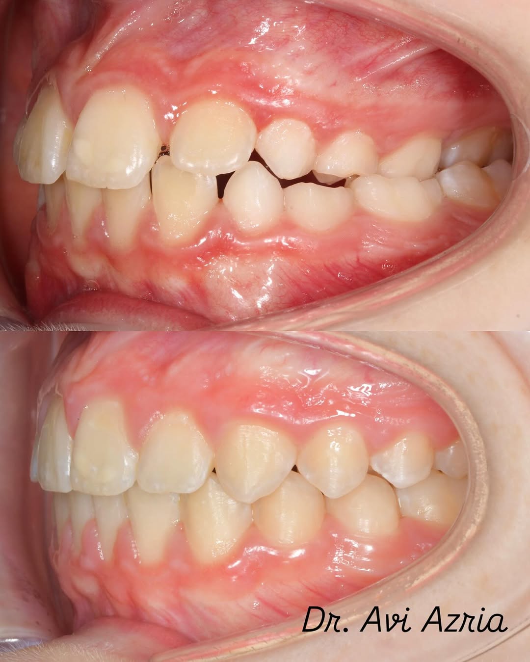
Avant :
Palais étroit
Incoordination des arcades
Infraclusion postérieure
Après :
Traitement par multi-bagues
Coordination des arcades
Création d’un sourire large et harmonieux
Bilan :
Un traitement par multi-bagues qui a permis d’obtenir une occlusion fonctionnel et rétablir l’esthétique du sourire








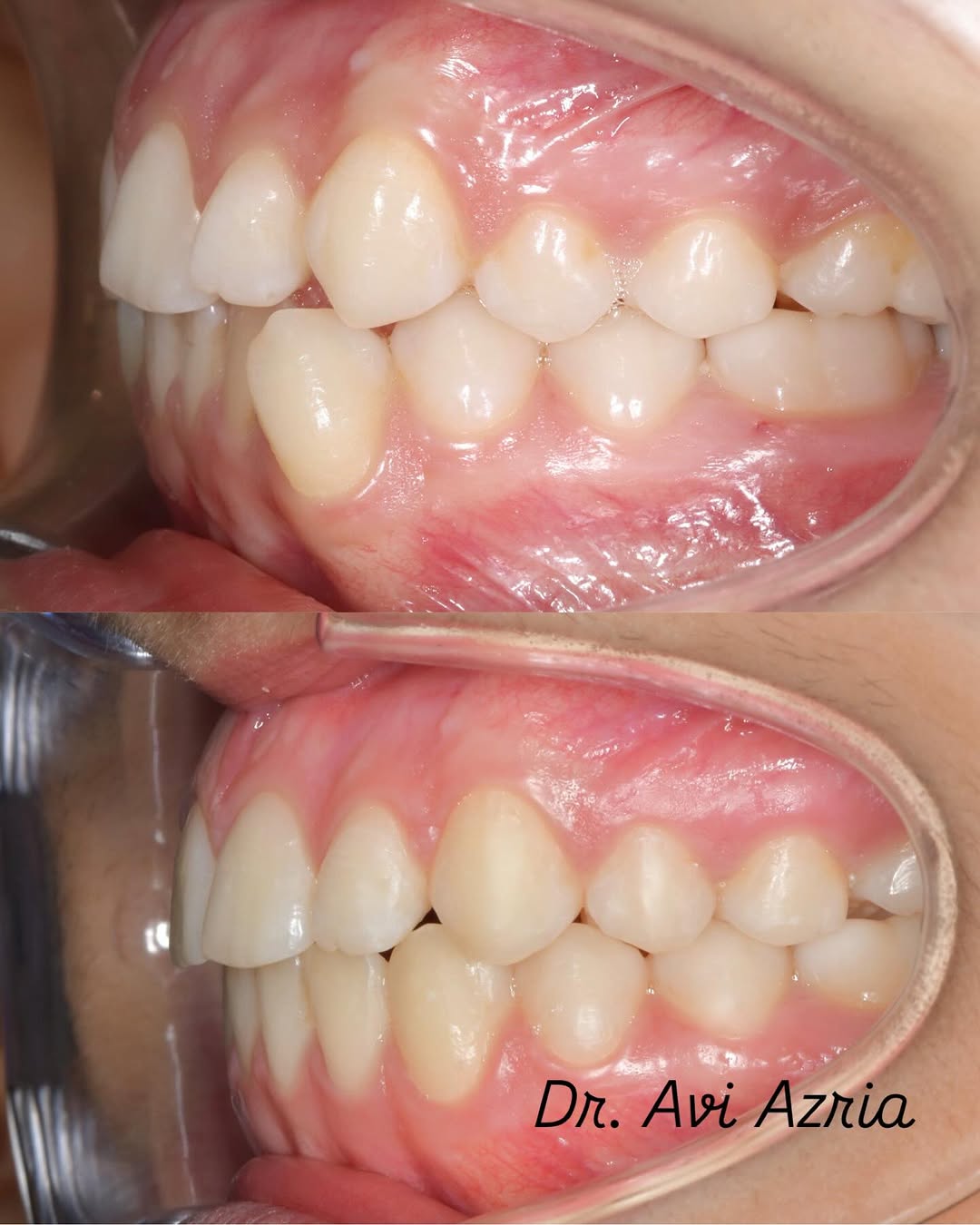
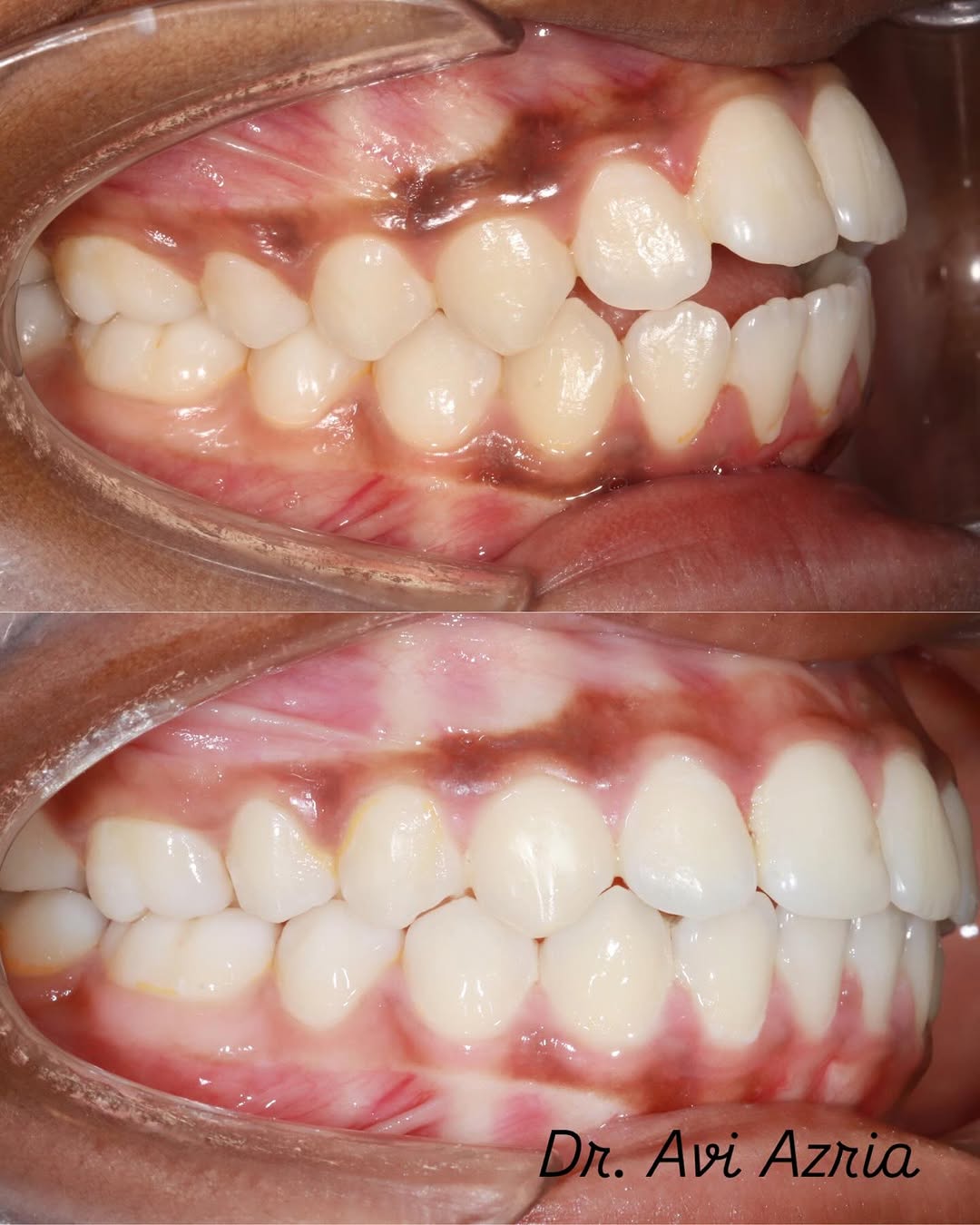
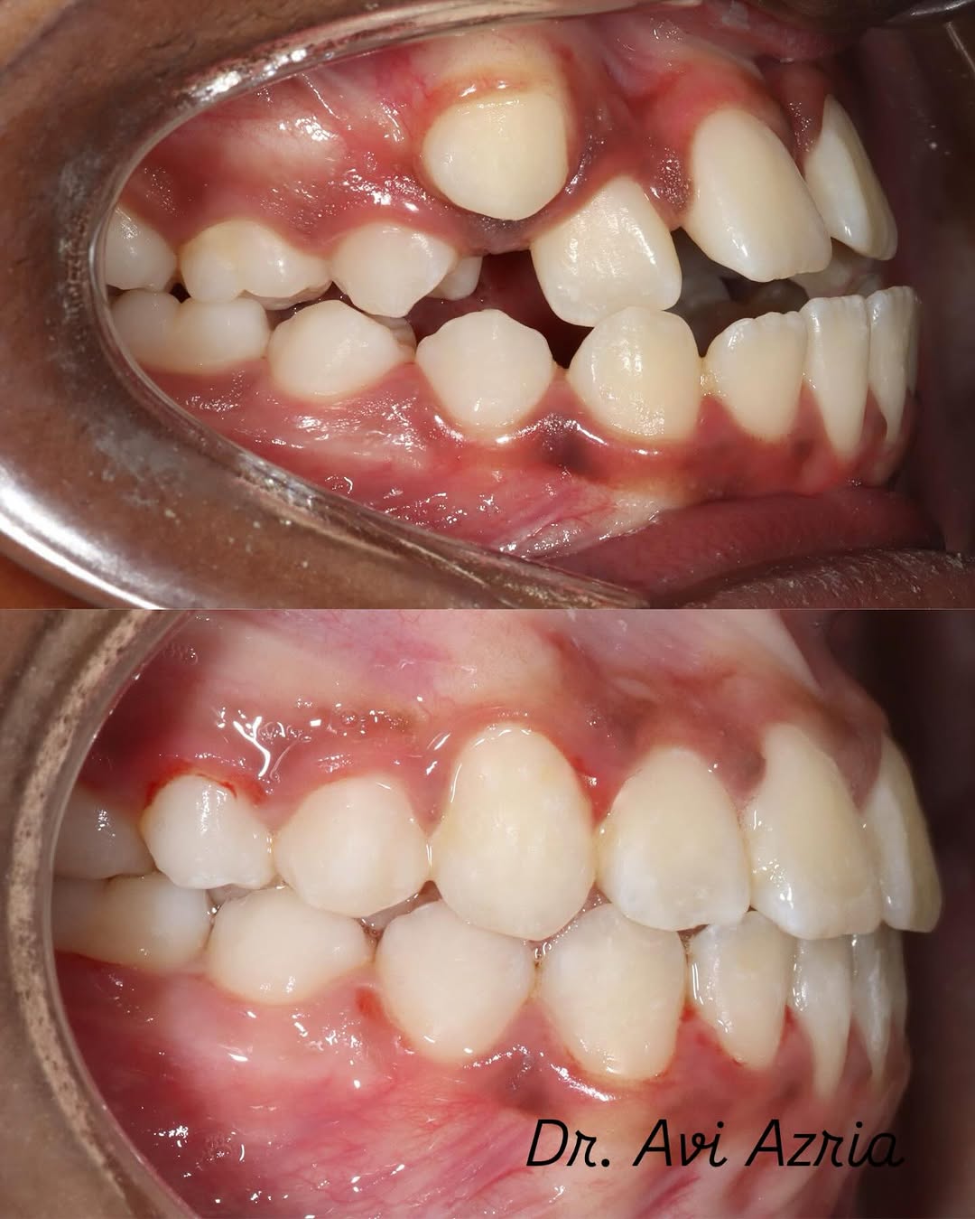
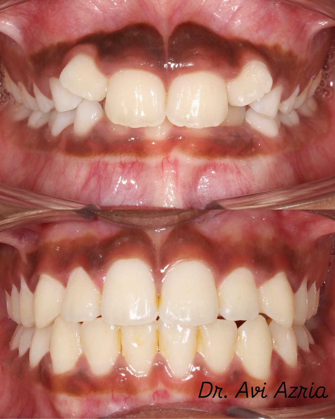
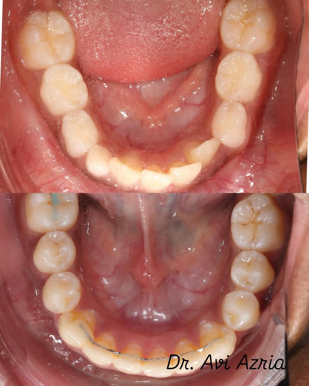
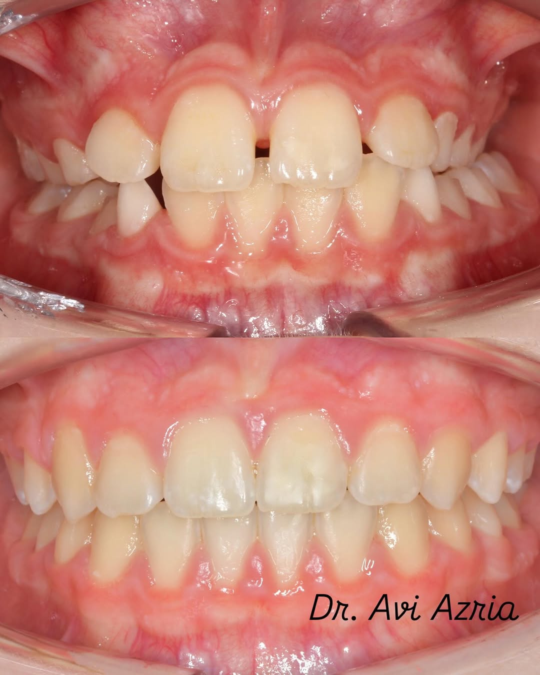
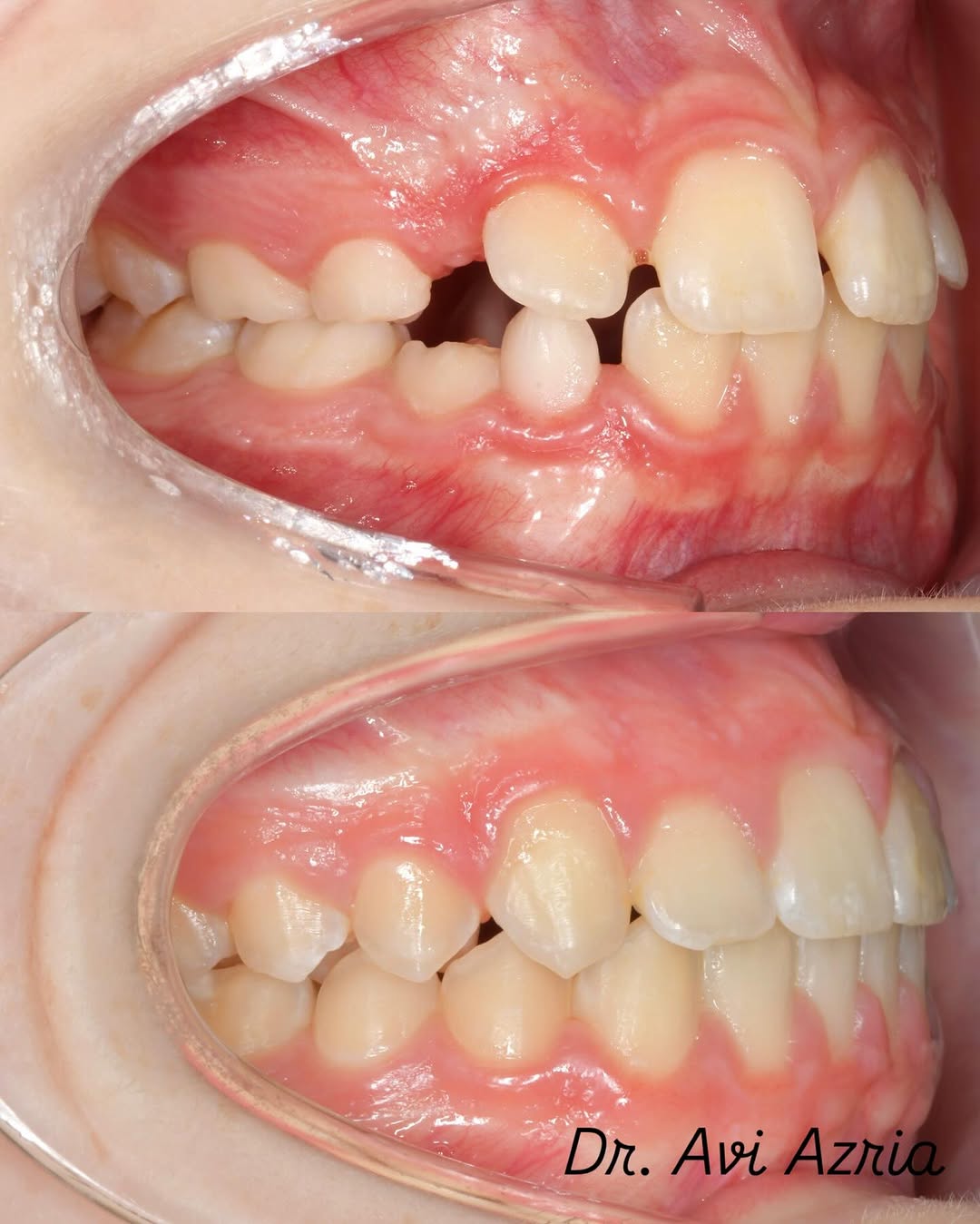
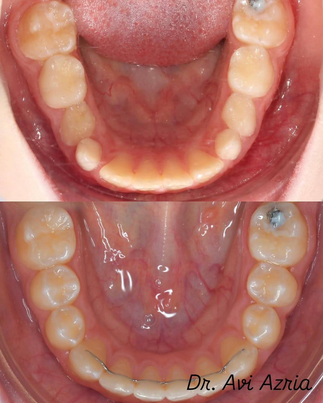
Avant :
Encombrement dentaire
Inverse occlusal postérieur droit
Inverse antérieur des incisives latérales
Après :
Alignement parfait
Coordination des arcades réussie
Surplomb et recouvrement fonctionnel retrouvés
Bilan :
Traitement effectué avec des attaches multi-appareils et extraction de 4 prémolaires pour atteindre ces résultats exceptionnels !








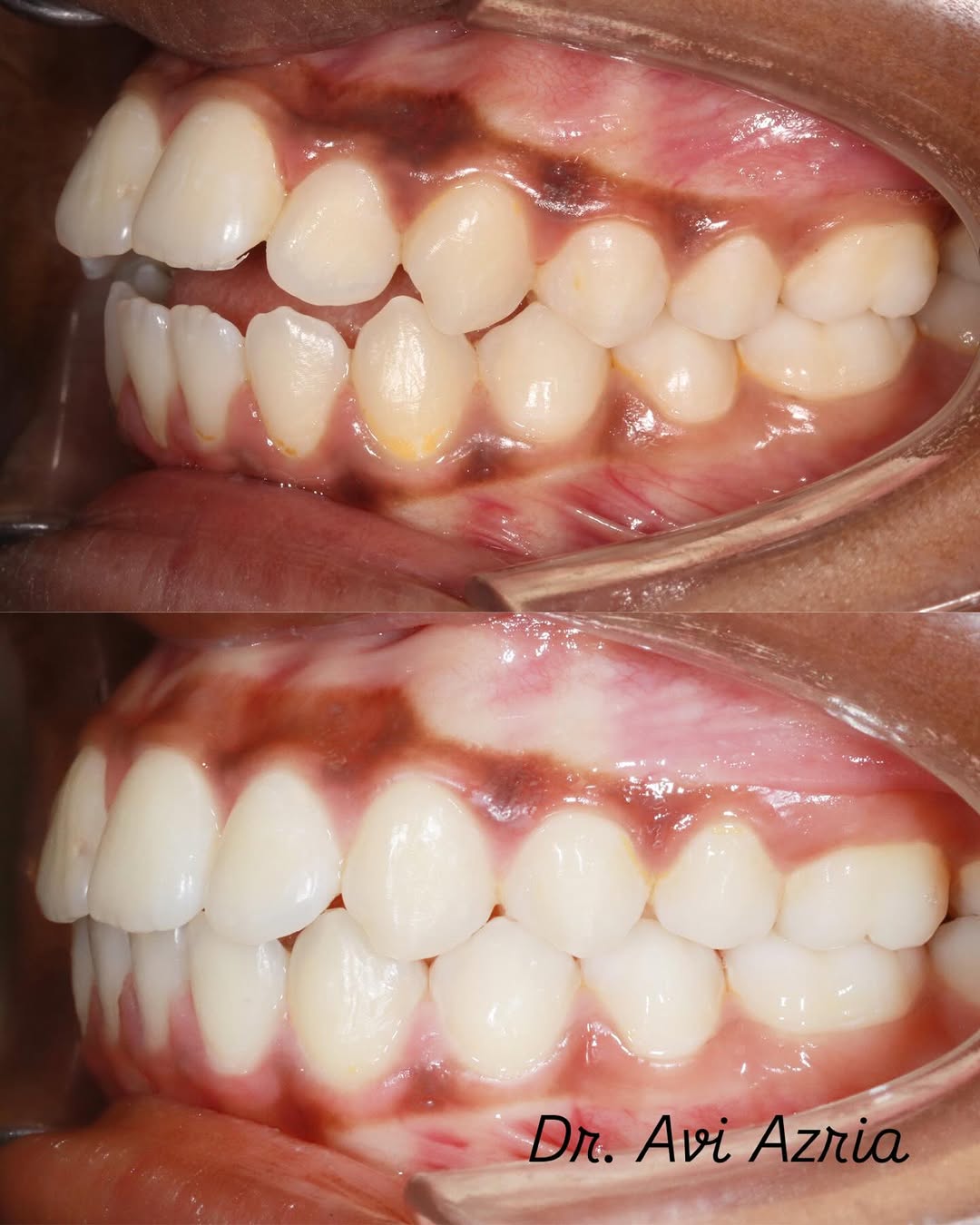
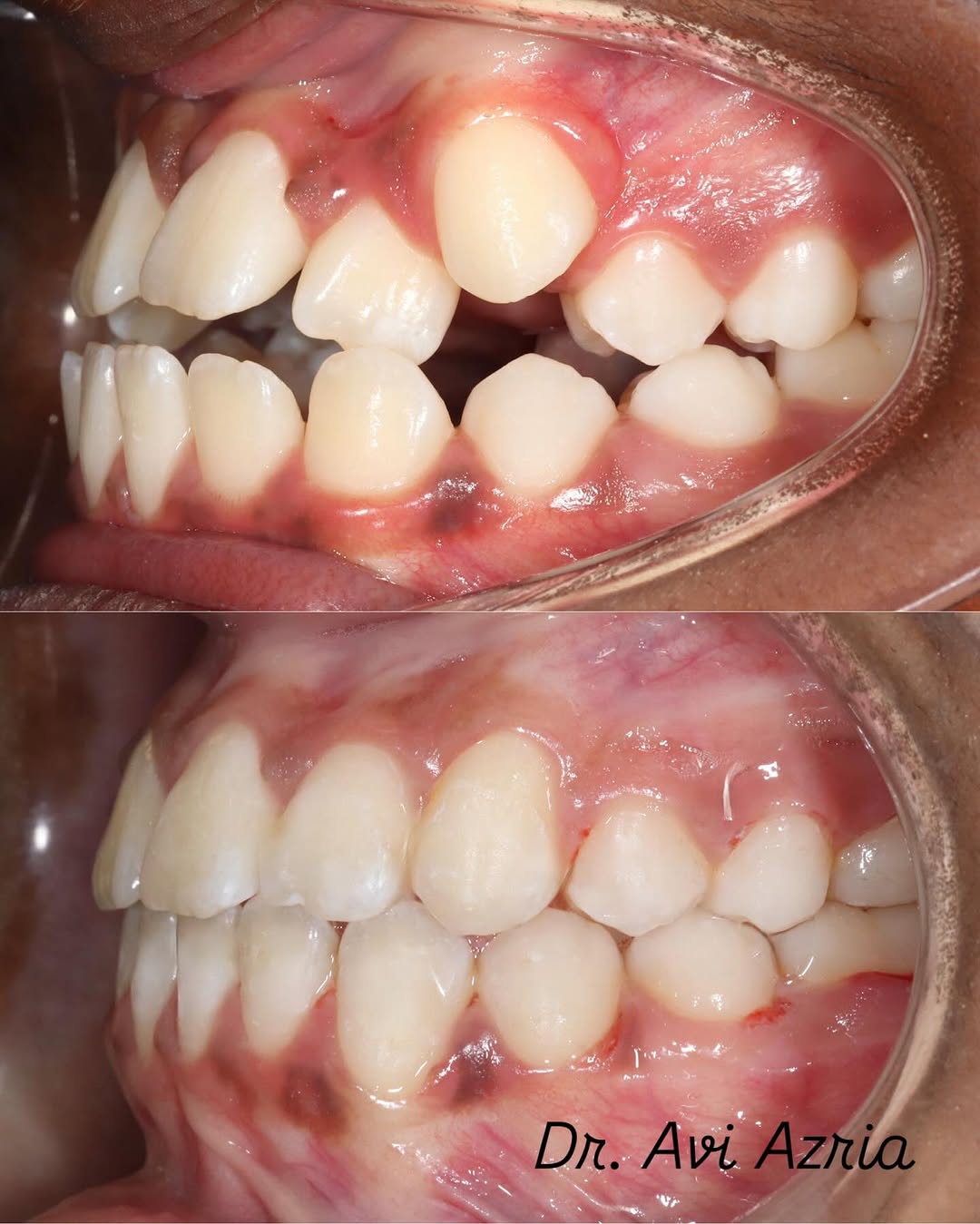
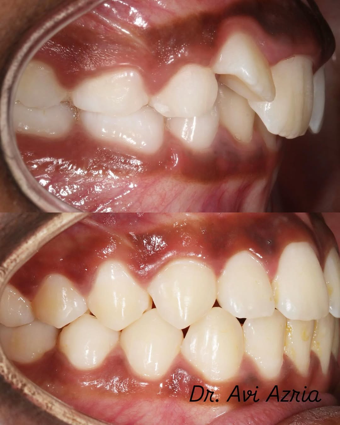
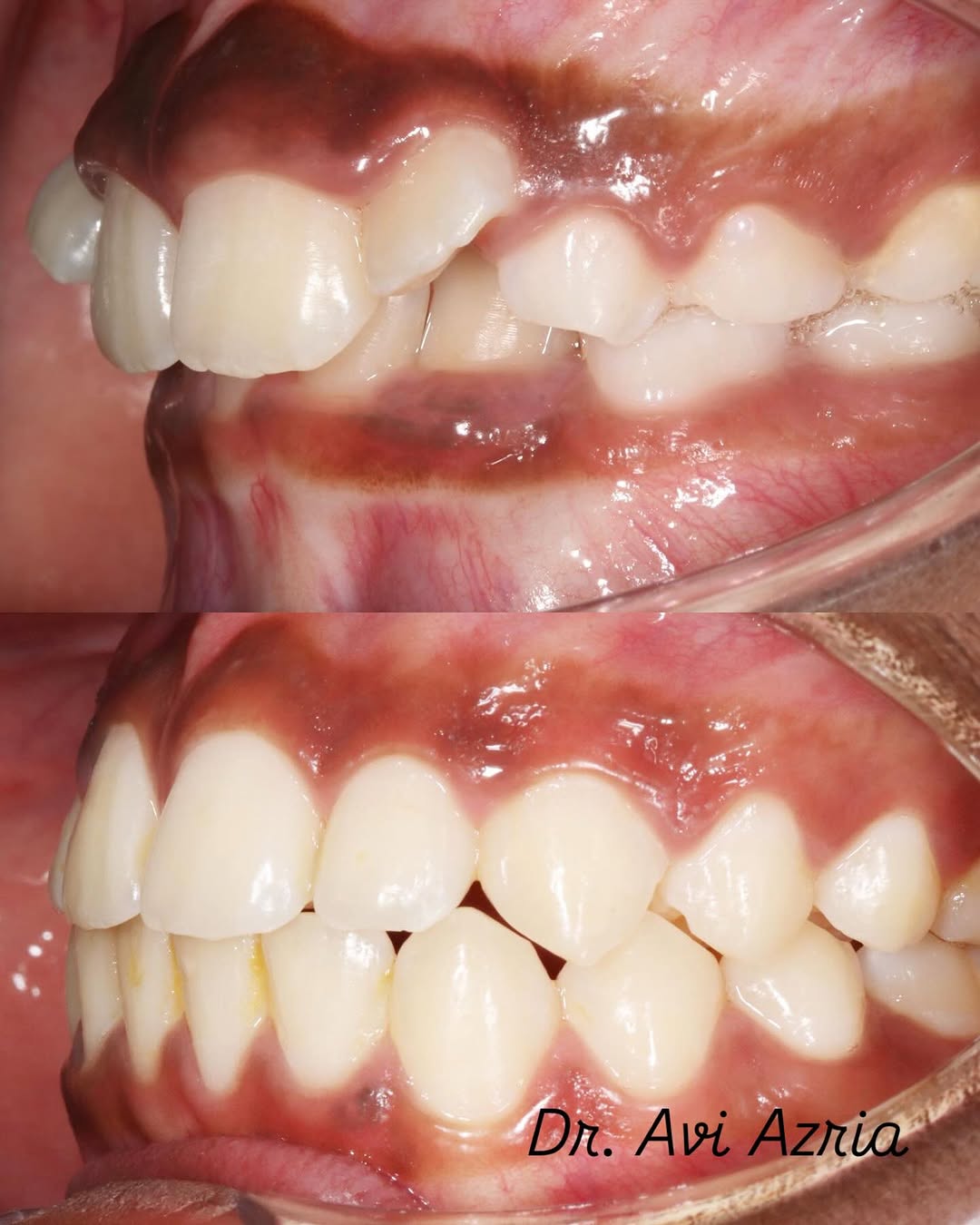
Pour cette patiente, nous avons réalisé un traitement sans extraction, avec un objectif clair : conserver un joli profil facial et offrir un sourire fonctionnel et esthétique.
Les finitions en orthodontie sont la dernière étape cruciale d’un traitement, et nous avons à cœur de ne jamais négliger cette phase.
Un résultat impeccable grâce à des soins personnalisés et une attention au détail ! Objectif rempli !








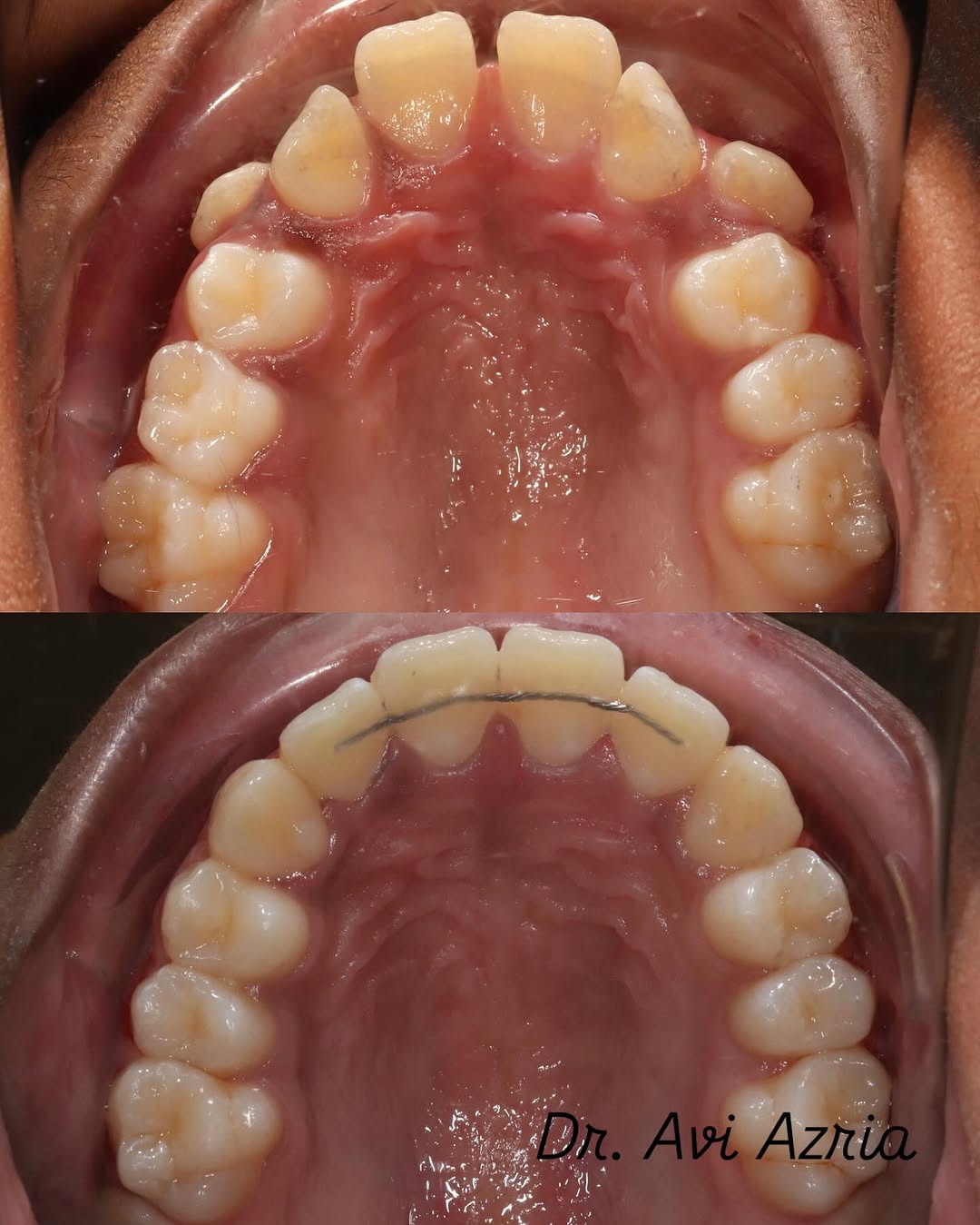
Cette patiente présentait :
Une béance antérieure (les dents ne se touchaient pas à l’avant)
Un mauvais positionnement de la langue
Des arcades dentaires asymétriques
Après 18 mois de traitement orthodontique, nous avons obtenu un recouvrement fonctionnel : elle peut désormais croquer la vie à pleines dents
Une rééducation orthophonique a également été prescrite afin de pérenniser les résultats dans le temps.
Résultat harmonieux, fonctionnel et durable !








Cette patiente présentait :
Une béance fonctionnelle liée à un mauvais positionnement de la langue
Une classe III dentaire avec un surplomb inversé
Un encombrement maxillaire important
Grâce à un traitement orthodontique sans extraction, nous avons réussi à obtenir :
Un surplomb fonctionnel optimal
Un recouvrement harmonieux et fonctionnel
Le tout, sans extraction, afin de préserver l’espace pour la langue et limiter les risques de récidive à long terme.
En parallèle, une rééducation linguale a été réalisée tout au long du traitement pour améliorer le positionnement et la fonction de la langue.
Un résultat naturel, fonctionnel et durable !








Avant / Après orthodontique
Ce patient présentait plusieurs problématiques :
Une classe II division 2 dentaire,
Une supracclusion (recouvrement excessif des incisives supérieures),
Un encombrement antérieur,
Une canine mandibulaire (33) retenue.
Grâce à un traitement complet :
Correction de l’encombrement,
Alignement harmonieux des dents,
Rééquilibrage du décalage sagittal à l’aide d’élastiques de classe II,
Obtention d’un recouvrement fonctionnel et esthétique.
Bilan : une occlusion stable, un sourire harmonieux et un patient ravi
Bravo à lui pour son sérieux et son engagement tout au long du traitement !








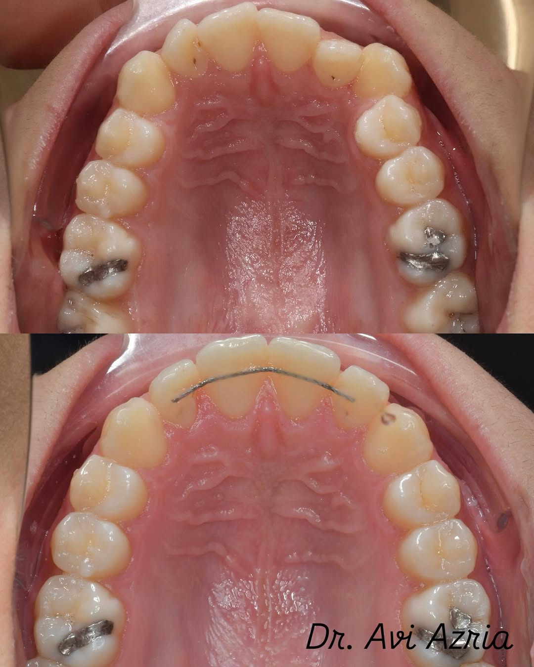
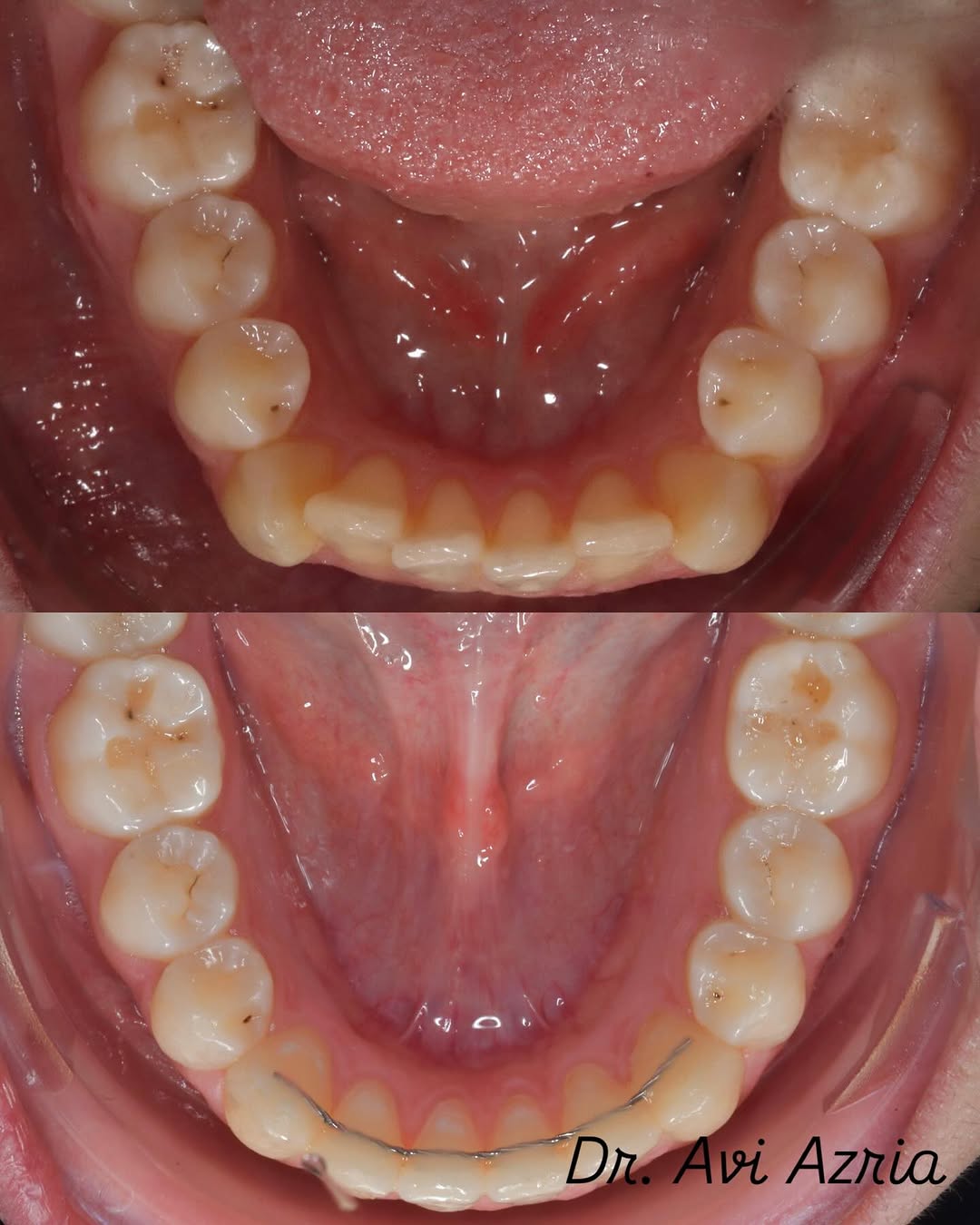
Traitement orthodontique chez une jeune patiente de 15 ans
Ce cas illustre la complexité d’un traitement à cet âge, où la croissance est souvent limitée pour corriger un décalage dentaire asymétrique de classe III.
Nous devions également composer avec une légère infraclusion liée à la position de la langue et l’absence de fonction canine.
Le traitement mis en place :
Dispositif Carrière de classe III
Appareillage multi-attaches maxillaire et mandibulaire
Résultats obtenus :
• Centrage parfait des milieux dentaires
• Correction de l’encombrement
• Rétablissement d’une occlusion fonctionnelle et harmonieuse
Une contention maxillaire et mandibulaire a été posée en fin de traitement afin de stabiliser les résultats et une rééducation linguale par orthophonie a été prescrite pour optimiser la fonction.
Chaque sourire est unique, chaque traitement aussi !
N’attendez pas pour planifier votre bilan orthodontique personnalisé








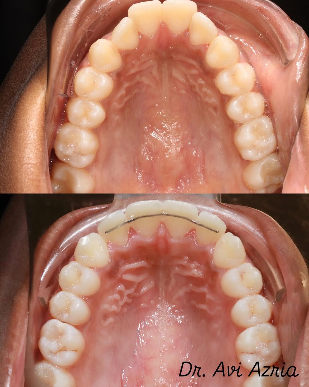
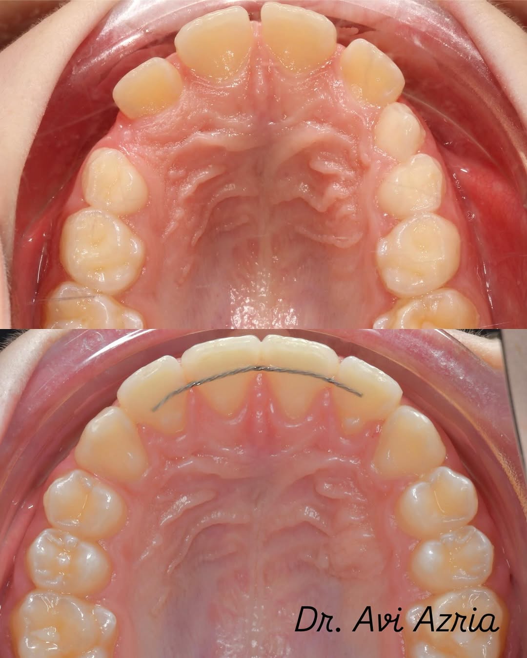
Cette patiente présentait :
Un palais étroit avec des contacts inversés à gauche
Des diastèmes interincisifs
Des troubles fonctionnels (déglutition et ventilation)
Le traitement a consisté en : ️
Une expansion maxillaire à l’aide d’un disjoncteur
Un appareillage multi-attaches pendant 24 mois
Le résultat final :
Un palais élargi
Une occlusion fonctionnelle et stable
Une nette amélioration des fonctions oro-faciales
Un grand merci à cette patiente pour sa rigueur et son implication tout au long du traitement !





